江南游戏官网中国有限公司江南游戏官网中国有限公司

0571-87968248 ENGLISH
  • 首页
  • 关于我们
    公司介绍企业文化发展历程
  • 江南娱乐体育(中国)官网入口|登录
    企业动态展会信息行业动态
  • 产品介绍
    新型冠状病毒(2019-nCoV)检测系列过敏原特异性抗体IgE检测系列食物特异性抗体IgG/lgG4检测系列单项/多价过敏原检测系列单组分过敏原检测系列过敏性疾病相关基因分子检测(PCR/NGS)系列产品其他系列产品产品专属设备--高通量全自动免疫印迹仪及判读软件
  • 过敏知识
    科研文献科普知识视频展示
  • 联系方式
    联系我们
科研文献科普知识视频展示
组分文献基因文献机理文献益生菌检测文献脱敏文献其他

Allergy:屋尘螨可作为细菌的载体,诱导IgE对微生物抗原的敏感性

发布日期:2018-11-13

  原标题:屋尘螨作为对细菌抗原的IgE敏感性的潜在携带者
——来自浙大迪迅 
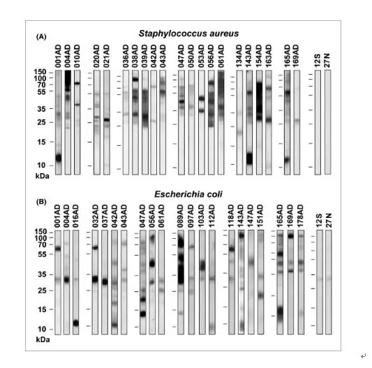
  革兰氏阳性和革兰阴性菌抗原的IgE反应性在呼吸和皮肤过敏的患者中很常见,但其致敏途径和机制尚不完全清楚。对室内尘螨(HDM)基因组、转录组和微生物群的分析表明,金黄色葡萄球菌(S.金葡菌)和大肠埃希菌(E.coli)是HDM菌群中丰富的细菌。因此,我们的目的是研究HDM是否是导致特应性皮炎患者IgE致敏的细菌抗原携带者。
  用IgE免疫印迹法对179例AD患者血浆标本进行微量屋尘螨变应原分子及金黄色葡萄球菌和大肠杆菌抗原的IgE反应性分析。检测金黄色葡萄球菌和大肠杆菌抗原特异性抗体与印迹在硝酸纤维素膜上的来自纯化的屋尘螨个体的提取液的反应性,并通过IgE免疫印迹抑制实验检测IgE-反应抗原。针对屋尘螨中细菌抗原的IgE抗体通过 IgE ImmunoCAP™抑制试验来定量。
  相比于对屋尘螨不敏感的特应性皮炎病人,对屋尘螨敏感的特应性皮炎病人中对细菌抗原有IgE反应性的病人明显要多。在HDM提取物的免疫印迹中检测到金黄色葡萄球菌和大肠杆菌的抗原,IgE反应性抗原在HDM中的存在是通过定性和定量相结合的IgE抑制实验证明的。
  屋尘螨(HDM)可作为细菌的载体,诱导IgE对微生物抗原的敏感性。


  延伸阅读



Allergy                                                  
[IF:6.048]
House dust as potential carriers for IgE sensitization to bacterial antigens
https://doi.org/10.1111/all.13260
Abstract
Background
IgE reactivity to antigens from Gram‐positive and Gram‐negative bacteria is common in patients suffering from respiratory and skin manifestations of allergy, but the routes and mechanisms of sensitization are not fully understood. The analysis of the genome, transcriptome and microbiome of house dust mites (HDM) has shown that Staphylococcus aureus (S. aureus) and Escherichia coli (E. coli) species are abundant bacteria within the HDM microbiome. Therefore, our aim was to investigate whether HDM are carriers of bacterial antigens leading to IgE sensitization in patients suffering from atopic dermatitis.
Methods
Plasma samples from patients with AD (n = 179) were analysed for IgE reactivity to a comprehensive panel of microarrayed HDM allergen molecules and to S. aureus and E. coli by IgE immunoblotting. Antibodies specific for S. aureus and E. coli antigens were tested for reactivity to nitrocellulose‐blotted extract from purified HDM bodies, and the IgE‐reactive antigens were detected by IgE immunoblot inhibition experiments. IgE antibodies directed to bacterial antigens in HDM were quantified by IgE ImmunoCAP™ inhibition experiments.
Results
IgE reactivity to bacterial antigens was significantly more frequent in patients with AD sensitized to HDM than in AD patients without HDM sensitization. S. aureus and E. coli antigens were detected in immune‐blotted HDM extract, and the presence of IgE‐reactive antigens in HDM was demonstrated by qualitative and quantitative IgE inhibition experiments.
Conclusion
House dust mites (HDM) may serve as carriers of bacteria responsible for the induction of IgE sensitization to microbial antigens.
Author
S. DzoroI. MittermannY. Resch‐MaratS. VrtalaM. NehrA. M. HirschlG. WikbergL. LundebergC. JohanssonA. Scheynius
2018-10-31  Article
  创建过敏性疾病的科研、科普知识交流平台,为过敏患者提供专业诊断、治疗、预防的共享平台。



  • 首页
  • 关于我们
  • 江南娱乐体育(中国)官网入口|登录
  • 产品介绍
  • 过敏知识
  • 联系方式
江南游戏官网中国有限公司   版权所有    开创网络   技术支持    浙ICP备14005341号  
互联网药品信息服务资格证书编号: (浙)-非经营性-2019-0050
地址:杭州市滨江区滨康路568号2号楼     电话:0571-87968248-805      网址:www.qacomm.com
COPYRIGHT©2003-2024 www.qacomm.com CORPORATION. ALL RIGHTS RESERVED

浙大迪迅
官方微信

浙公网安备 33010802011114号

华体买球 | 开云手机入口 | 乐鱼网页 | 乐竞网页版登录·(官方)官网入口 | 半岛平台 | 开云电子体育 | 千亿·体育(中国)官方网站 | 乐动网页版 | 开云·体育 |